Glial Cytoplasmic Inclusions: An Overview

D.Tomfoolerylondon 127 views
Glial Cytoplasmic Inclusions: An Overview

Glial Cytoplasmic Inclusions: An Overview

Alright, guys, let’s dive into the fascinating world of glial cytoplasmic inclusions! These little guys are like tiny clues hiding within the brain, and understanding them can unlock some serious insights into neurodegenerative diseases. So, grab your metaphorical magnifying glasses, and let’s get started!

What are Glial Cytoplasmic Inclusions?

Glial cytoplasmic inclusions (GCIs) are abnormal accumulations of protein within glial cells, primarily oligodendrocytes, and sometimes astrocytes. Think of glial cells as the support staff of the brain, keeping everything running smoothly. Oligodendrocytes, in particular, are responsible for producing myelin, the protective sheath around nerve fibers that allows for rapid signal transmission. When GCIs show up, it’s like a wrench thrown into the gears of this intricate system.

These inclusions are predominantly made up of a protein called alpha-synuclein. Now, alpha-synuclein is no stranger to the brain; it’s normally involved in various neuronal functions. However, in certain neurodegenerative conditions, it misfolds and aggregates, leading to the formation of these pesky GCIs. Imagine it like this: alpha-synuclein is supposed to be a well-organized worker, but in disease states, it becomes a disorganized hoarder, clumping together and disrupting the normal function of the cell. The presence of these inclusions is a hallmark feature of several neurological disorders, most notably multiple system atrophy (MSA).

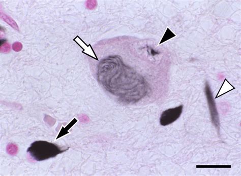
To understand the significance, it’s helpful to visualize what these inclusions look like under a microscope. When brain tissue is stained and examined by neuropathologists, GCIs appear as small, dense bodies within the cytoplasm of glial cells. Their presence and distribution pattern are critical diagnostic clues. For example, in MSA, GCIs are abundant in oligodendrocytes, providing a key pathological marker for the disease. Researchers use various techniques, including immunohistochemistry, to identify these inclusions by targeting alpha-synuclein with specific antibodies. This process helps to confirm the diagnosis and differentiate MSA from other similar conditions, such as Parkinson’s disease, where alpha-synuclein aggregates primarily in neurons.

Furthermore, the study of GCIs is crucial for understanding the pathogenesis of MSA. Scientists are actively investigating how these inclusions form, what factors contribute to their aggregation, and how they ultimately lead to cellular dysfunction and neurodegeneration. Understanding these mechanisms could pave the way for developing targeted therapies to prevent or slow down the progression of MSA. For example, some research focuses on inhibiting alpha-synuclein aggregation, while others aim to enhance the clearance of these inclusions from the cell. It’s like trying to clean up the mess made by the disorganized hoarder to restore order and function to the brain.

Multiple System Atrophy (MSA) and GCIs

Multiple System Atrophy (MSA) is a progressive neurodegenerative disorder characterized by a combination of parkinsonism, cerebellar ataxia, and autonomic dysfunction. In simpler terms, it affects movement, balance, and automatic functions like blood pressure control and bladder function. MSA is relatively rare, but it’s a devastating condition with no known cure. The presence of GCIs is a defining pathological feature of MSA, especially the subtype known as MSA-oligodendroglial cytoplasmic inclusions (MSA-C).

In MSA, the accumulation of alpha-synuclein within oligodendrocytes leads to cellular dysfunction and ultimately cell death. This, in turn, disrupts the myelination process, affecting the ability of nerve fibers to transmit signals efficiently. Imagine the myelin sheath as the insulation around an electrical wire; when it’s damaged, the signal gets lost, leading to a variety of neurological symptoms. The specific symptoms that manifest depend on which areas of the brain are most affected. For example, damage to the basal ganglia can result in parkinsonism, while damage to the cerebellum can cause ataxia.

The relationship between GCIs and the clinical manifestations of MSA is a major focus of ongoing research. Scientists are working to understand how the presence and distribution of GCIs correlate with the severity and progression of the disease. This involves using advanced imaging techniques to visualize the brain and correlate these findings with clinical assessments. For instance, magnetic resonance imaging (MRI) can detect atrophy (shrinkage) in specific brain regions affected by MSA, and these changes can be linked to the burden of GCIs in those areas.

Moreover, researchers are exploring the genetic and environmental factors that may contribute to the development of MSA and the formation of GCIs. While MSA is not typically considered a hereditary disease, some genetic variations have been identified that may increase the risk. Environmental factors, such as exposure to certain toxins, are also being investigated as potential contributors. Understanding these factors could lead to strategies for preventing or delaying the onset of MSA in susceptible individuals. It’s like trying to identify the root causes of the mess so that we can prevent it from happening in the first place.

To further complicate matters, MSA can be challenging to diagnose, particularly in the early stages. The symptoms can overlap with other neurological disorders, such as Parkinson’s disease, making it difficult to distinguish between them. However, the presence of GCIs on autopsy is a definitive diagnostic marker for MSA. As a result, there is a strong need for better diagnostic tools that can detect GCIs in living patients. This is an active area of research, with scientists exploring various techniques, including the development of biomarkers that can be detected in blood or cerebrospinal fluid. Early and accurate diagnosis is crucial for providing appropriate symptomatic treatment and allowing patients to participate in clinical trials.

Other Conditions Associated with GCIs

While GCIs are most strongly associated with MSA, they can also be found, albeit less frequently, in other neurodegenerative conditions. These include certain subtypes of Lewy body dementia (LBD) and even, in rare cases, Alzheimer’s disease. The presence of GCIs in these conditions raises questions about the underlying pathological mechanisms and the potential overlap between different neurodegenerative disorders.

In Lewy body dementia, the primary pathological hallmark is the presence of Lewy bodies, which are intraneuronal inclusions composed of alpha-synuclein. However, some individuals with LBD may also exhibit GCIs, suggesting that glial involvement can occur in this condition as well. The significance of GCIs in LBD is not yet fully understood, but it may contribute to the heterogeneity of clinical presentations and disease progression. It’s like finding a few stray pieces of the disorganized hoarder’s mess in someone else’s house, suggesting a possible connection or shared mechanism.

Similarly, in Alzheimer’s disease, the main pathological features are amyloid plaques and neurofibrillary tangles. While GCIs are not typically associated with Alzheimer’s disease, rare cases have been reported where they are present. The presence of GCIs in these cases may indicate a mixed pathology, where multiple neurodegenerative processes are occurring simultaneously. This highlights the complexity of neurodegenerative diseases and the need for a comprehensive approach to diagnosis and treatment. It’s like finding evidence of multiple problems contributing to the overall dysfunction.

The presence of GCIs in conditions other than MSA underscores the importance of considering the broader context of neuropathological findings. While GCIs are a key diagnostic marker for MSA, they should not be interpreted in isolation. Neuropathologists must carefully evaluate the distribution and morphology of GCIs, as well as the presence of other pathological features, to arrive at an accurate diagnosis. This requires expertise and a thorough understanding of the various neurodegenerative disorders. It’s like piecing together a complex puzzle, where each piece of information contributes to the overall picture.

Moreover, the study of GCIs in different neurodegenerative conditions can provide valuable insights into the common mechanisms that underlie these disorders. For example, understanding how alpha-synuclein misfolds and aggregates in MSA may shed light on the mechanisms that contribute to Lewy body formation in LBD. Similarly, identifying the factors that promote glial dysfunction in MSA may have implications for understanding the role of glial cells in other neurodegenerative diseases. It’s like comparing different messes to identify common patterns and develop more effective cleaning strategies.

Research and Future Directions

The study of glial cytoplasmic inclusions is a dynamic and rapidly evolving field. Researchers are employing a variety of cutting-edge techniques to unravel the mysteries of GCIs and their role in neurodegenerative diseases. These techniques include advanced imaging, genetic analysis, and cell culture models.

One promising area of research is the development of biomarkers for MSA. Biomarkers are measurable indicators of a disease state that can be detected in bodily fluids or tissues. The identification of reliable biomarkers for MSA would greatly improve the accuracy and speed of diagnosis, allowing for earlier intervention and better patient management. Researchers are actively searching for biomarkers that can specifically detect the presence of GCIs or other related pathological changes. This involves analyzing blood, cerebrospinal fluid, and brain tissue samples from patients with MSA and comparing them to those from healthy controls and individuals with other neurological disorders. It’s like searching for clues that can help us identify the disorganized hoarder before they cause too much damage.

Another important area of research is the development of therapies that can target GCIs. This could involve strategies to prevent alpha-synuclein from misfolding and aggregating, promote the clearance of existing GCIs, or protect glial cells from the toxic effects of GCIs. Several therapeutic approaches are currently being investigated, including small molecules, antibodies, and gene therapies. These therapies are being tested in preclinical models, such as cell cultures and animal models, to assess their safety and efficacy. If successful, these therapies could potentially slow down the progression of MSA and improve the quality of life for patients. It’s like developing new tools and techniques to clean up the mess and prevent it from recurring.

In addition to these targeted therapies, researchers are also exploring symptomatic treatments that can alleviate the symptoms of MSA. These treatments aim to improve motor function, balance, and autonomic control. While symptomatic treatments do not address the underlying cause of MSA, they can provide significant relief for patients and improve their daily functioning. Examples of symptomatic treatments include medications to manage parkinsonism, physical therapy to improve balance and coordination, and interventions to address autonomic dysfunction. It’s like providing temporary solutions to help people cope with the mess while we work on a more permanent fix.

Furthermore, collaborations between researchers, clinicians, and patient advocacy groups are essential for advancing the field of GCI research. These collaborations facilitate the sharing of data, resources, and expertise, accelerating the pace of discovery. Patient advocacy groups play a crucial role in raising awareness about MSA, advocating for research funding, and providing support for patients and their families. By working together, we can make significant progress in understanding and treating this devastating disease. It’s like bringing together all the available resources and expertise to tackle a complex challenge.

In conclusion, glial cytoplasmic inclusions are fascinating and important pathological features of neurodegenerative diseases, particularly multiple system atrophy. While much remains to be learned about GCIs, ongoing research is shedding light on their formation, role in disease pathogenesis, and potential as therapeutic targets. With continued efforts and collaboration, we can hope to develop better diagnostic tools and therapies for MSA and other related conditions. Keep exploring, stay curious, and let’s keep unraveling the mysteries of the brain, one tiny inclusion at a time!